2022年6月6日,炸金花
陈浩副教授与山东第一医科大学、山东第一医科大学第二附属医院、泰安市疾病预防控制中心等机构合作在柳叶刀子刊The Lancet Microbe发表了“Human-to-human transmission of Chlamydia psittaci in China, 2020: an epidemiological and aetiological investigation”的研究论文。

The Lancet Microbe是柳叶刀(THE LANCET)旗下的开放获取(OA)期刊,致力于发表微生物和传染源所有层面的相关研究工作,包括病原体的性质、微生物组学、病理学和免疫学等,即时影响因子70+。

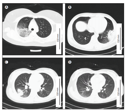
鹦鹉热衣原体(Chlamydia psittaci)是一种专性细胞内寄生、以鸟类和人为宿主的人兽共患病原体,感染人类可引起所谓的“鹦鹉热”,表现为非特异性流感样症状或社区获得性肺炎(Community-acquired pneumonia, CAP)。由于其可通过气溶胶传播,鹦鹉热衣原体被归类为潜在的生物武器。本研究对2020年底山东某医院不明病因的社区获得性肺炎疫情进行了流行病学和病原学调查,提供了鹦鹉热人传人的证据。通过整合患者流行病学和临床检测数据,研究人员确定最初6名患者为接触家禽后感染的原发病例,入院后造成多名医务人员感染,以及随后医务人员部分家庭成员感染,表明鹦鹉热衣原体可发生人际间的二代和三代传播,包括疑似无症状携带者造成的继发传播,揭示了此次疫情暴发的潜在传播链。这是中国首次关于鹦鹉热衣原体存在人际传播的报道。同时确诊了多例传染源不明的鹦鹉热患者,提示人群中存在该病原体的隐性传播风险。
本文链接://doi.org/10.1016/S2666-5247(22)00064-7。
(撰稿人:陈浩 审核人:王庆贵)